
沼津市大手町の歯医者 沼津歯科では、
先進の設備や院内感染対策のための衛生設備を充実させ
多くの方に安心して通っていただけるような歯科医院を目指しています。
沼津市の歯医者 沼津歯科では、厚生労働省が定める
「歯科点数表の初診料の注1に規定する施設基準(歯初診)」
「歯科外来診療医療安全対策加算」「歯科外来診療感染対策加算」
「口腔管理体制強化加算(口管強)」の施設基準をクリアしています。




歯科の治療器具はどうしても唾液・血液に触れてしまうので、器具を介しての感染予防が必須です。沼津歯科では細菌を完全に除去する「滅菌」にこだわった処理を行う、使い捨て器具を利用するなどの院内感染予防に取り組んでいます。
消毒とは
細菌を問題のない程度まで殺滅・減少させること。
殺菌とは
付着した細菌を殺すこと。(ただし程度は完全ではない)
滅菌とは
すべてのウイルスや細菌を「完全」に死滅・除去させること。





航空機のジェットエンジン技術を応用した
強力な吸引力で
力強く大量の空気を循環する
「BALMUDA The Pure」



安心して
受診していただくための
その他の取り組み







0.03μmというウイルスレベルの超微粒子まで99%以上除去する
世界基準の空気清浄テクノロジー
「ブルーエア」
*空気中の有害物質を全て除去できるわけではありません。

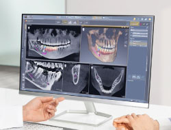
歯の内部やあごの骨の状態を把握することで、
様々な治療での高精度な診断を可能に!

顎の骨の立体的な形態や、神経の位置を把握することでインプラント体の埋入に適した位置や深度および角度などの情報を得ることができ、安全で的確な手術を行うことができます。

一定の規格に基づき、上下のあごの大きさ・形状、ずれ、歯の傾斜角、バランスなどの把握ができるため、治療前後の比較や成長発育の予測に役立ちます。

虫歯の進行度はもちろん、歯根の先端の病巣発見や歯周病による骨の破壊度の把握などに役立ちます。また、埋伏歯の位置の把握で余分な切開を避けることも可能になります。



お口の中を3Dスキャンし、
歯や歯ぐきの形態を高精度にデジタルデータ化!

印象材を使わない
デジタル印象で嘔吐反射や
不快感を軽減

わずか数分で
スキャンが完了し短時間で正確な
歯型採得が可能

微細な形態まで
高解像度で再現でき補綴物の
適合精度が高い

デジタルデータで
技工所と連携しやすく製作工程が
スピーディー



その他にも、アンプ蘇生バックなどの設備を整え、
安全・安心な診療環境をご提供してまいります。


